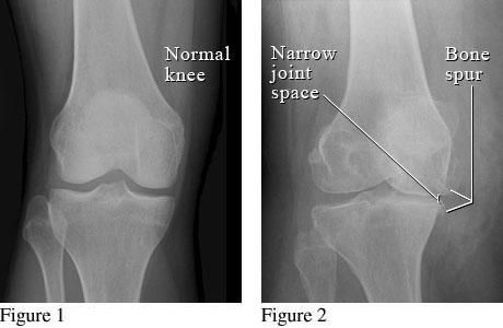
Οστεοαρθρίτιδα ονομάζεται η κατάσταση κατά την οποία η άρθρωση καταστρέφεται, λόγω εκφύλισης του αρθρικού χόνδρου. Η πάθηση συμβαίνει πιο συχνά σε ηλικιωμένους, υπέρβαρους και σε ανθρώπους που έχουν υποστεί σοβαρό τραυματισμό στη συγκεκριμένη άρθρωση, ωστόσο δεν έχουν διευκρινιστεί οι αιτίες που την προκαλούν. Ορισμένες φορές, η οστεοαρθρίτιδα γόνατος παρουσιάζεται ως συνέπεια άλλων νόσων που προσβάλλουν τις αρθρώσεις, όπως ρευματοειδής αρθρίτιδα, αγκυλοποιητική σπονδυλίτιδα, ψωριασική αρθρίτιδα κ.λπ.
Στα αρχικά στάδια της νόσου, ο ασθενής πονά έπειτα από περίοδο ακινησίας, όπως μετά τον ύπνο και ο πόνος υποχωρεί με την κίνηση. Με την πάροδο του χρόνου ο πόνος γίνεται συνεχής, ενώ μειώνεται το εύρος κίνησης της άρθρωσης.
-
Διάγνωση
-
Θεραπευτική Αγωγή
-
Χειρουργική Θεραπεία-Αντιμετώπιση

Οστεοαρθρίτιδα ισχύου

Οστεοαρθρίτιδα γόνατος